鼻咽粘膜充血是鼻咽癌吗鼻咽黏膜充血不一定就是鼻咽癌,也有可能是其他原因导致,比如鼻鼻窦炎等。那我就总结一下预防鼻咽癌最重要的三个点。鼻咽癌的发病原因是什么鼻咽癌的发病原因较多,较为常见的为遗传病毒感染以及环境因素等。

鼻咽粘膜充血是鼻咽癌吗鼻咽黏膜充血不一定就是鼻咽癌,也有可能是其他原因导致,比如感冒、鼻咽炎、鼻窦炎等。那我就总结一下预防鼻咽癌最重要的三个点。鼻咽癌的发病原因是什么鼻咽癌的发病原因较多,较为常见的为遗传因素、病毒感染以及环境因素等。
黑都是污垢原因鼻咽癌头颈部放疗没几个喉咙是可以完好无损的。咳痰出血的原因有很多,咽喉炎、鼻咽癌会出血,肺结核会出血,脚炎、肺癌也会出血,你出血那么频繁你要重视,建议你去做个全面的检查,确定一下病因吧!

一些研究报告上检测到,发表说明指出鼻咽癌的基因定位在患者上,这就有了癌基因的说法,在癌基因中,是有很多种的异常蛋白质的,这都是导致鼻咽癌发生的原因。)2.遗传因素:有鼻咽癌家族史者鼻咽癌发病风险增加。
3.环境因素:居住在鼻咽癌高发区的人群发病风险增加。我是一名鼻咽癌患者:关于放疗的注意事项我有话说!我自己总结:同期很多病友脖子伤口是因为洗澡去搓造成的。3.环境因素:如长时间生活在有甲醛、亚硝胺等物质的环境当中,对咽喉造成刺激和损伤,也有很大可能引起鼻咽癌。
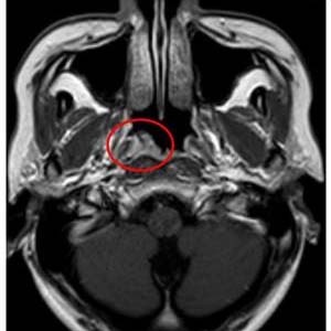
1.鼻咽癌:鼻咽癌是鼻咽部恶性肿瘤,由于肿瘤组织会刺激、破坏鼻咽部正常黏膜和组织,因此会出现鼻咽黏膜充血的现象,出现鼻涕带血、鼻塞等症状。1.遗传因素:鼻咽癌发病具有家族聚集性,如家族当中尤其是直系亲属当中有鼻咽癌患者,则后代的患病率响度来说会更高一点。

2.病毒感染:比较典型的就是EB病毒、冠状病毒感染等,这些病毒会参与到鼻咽癌的发展过程当中,也就是说发生病毒感染未及时治疗,也可能导致鼻咽癌问题。是一种常见的恶性肿瘤,其发生范围很广,比如80%以上的鼻咽癌患者在次检测到淋巴结转移。
随着病情的发展,还会表现出与之相对应的临床表现,比如:鼻咽癌会有回吸涕带血,严重时会影响到颅神经,比如头痛、上睑下垂等,还会导致软腭瘫痪,声音嘶哑,伸舌偏斜等。镍元素可促进亚硝胺诱发鼻咽癌,酒精和烟草、维生素缺乏、性激素失调都增加黏膜对致癌物的敏感性。
今天我们来聊聊最常见的“玻璃酸钠”。玻璃酸钠滴眼液属于人工泪液,主要功效是治疗干眼症。而且有一些人由于体质原因是不可以注射玻璃酸钠的。我刚才说了,玻璃酸钠它的特三个特点:个不能被吸收,不能...
如果这样下去很危险,血糖不平稳还常吃冰糖,血糖有高就会有低,低血糖会要命的。咳嗽萝卜白糖,金桔冰糖,冰糖炖梨,血糖呼呼的上。外面的冰糖瓜5一斤,美团才一块多,划算又甜,这样用勺子挖吃太爽了,天天干半边,...
过度的精神压力和劳累,特别容易导致人体内的肾上腺素和皮质醇分泌增加,对身体产生副作用,出现所谓的“肾虚”症状。肾上腺素是一种可以提高血压的激素。例如,当人体分泌过多的肾上腺素,会导致心肌缺血...
青椒木耳炒鸡肉,让你的餐桌更加丰富。这样做出来的青椒木耳炒鸡肉又香又嫩,非常美味。还原我瘦了40斤经常吃的家常炒菜:芹菜木耳炒鸡肉。木耳嫩滑爽口,鸡肉肉香浓郁,很好吃。这道木耳炒鸡肉营养又健康...
另外腰果中的油脂含量高,能够起到润肠通便的作用。经常食用腰果能强身健体,提高机体抗病能力等作用。因此,腰果有调节血脂的作用,适合高脂血症患者适量食用。腰果营养丰富,含有维生素A、维生素C、维生...
每天洗脸你的脸真的洗干净了吗?清洁是最基础的保养。姐妹们,每天洗脸怎样才可以把脸洗的更干净?特别是t字区毛孔粗大,普通手洗是很难清理干净的。为什么喜欢来施瑞莱洗脸?因为他家比较干净整洁,美容椅...
判断一个楼盘是否为“阑尾炎”,首先要了解景德镇目前是否存在类似的问题。实际上,景德镇目前并没有出现过任何一个真正意义上的“阑尾炎”楼盘。什么是阑尾炎楼盘?景德镇有没有阑尾炎楼盘?听听老郭的...
他一个人在这边买的多了他也吃不完,为什么买这些水果?这些水果都是补钾的,就是缺钾引起的症状。后备箱打开,这都是补钾的,给你搞点水果。黄金椰枣是心脏最喜爱的水果之一,主要是由于椰枣中含有的钾。第...
月子期咳嗽了能喝鸽子汤吗月子期间咳嗽是可以适量喝鸽子汤的。鸽子咳嗽喝可乐靠谱吗?我看他们说鸽子咳嗽气喘,给它喝可乐非常好。鸽子咳嗽什么原因造成的?咳嗽吃鸽子蛋很好。...
00克猪前排16元,炖土豆红萝卜,或者是清蒸都可以吃一天。现在开始切萝卜啦,把这些头和底部的都全部都切掉。开始切萝卜了,萝卜切成这种长条就可以了。这个是水果胡萝卜,这个是直接可以吃的胡萝卜。冬吃...
硒是人体的生命之火,是人体内不可缺少的营养成分,生活中很多水果都含有硒元素,但你知道含硒第一名的水果是什么吗?含硒高的水果又有哪些呢?跟水簇养生网一起来看看吧。...
一级夫妻性生活的年纪大概在20岁到50岁左右,如果是一种比较好的情况下,性生活的频率一般在10到20分钟左右,如果是比较差的夫妻,性生活的频率可能会受到很多因素的影响,有些人可能会担心,性生活的质量不...
黄ba等中草药可用于治疗多种男科疾病。 可是不应过多使用。 毕竟,该药具有三点毒性,并且肯定会引起身体某些副作用,尤其是对肾功能的影响,将产生非常大的影响,因此一定应该引起注意, 可能会继续导致自...
三道鳞鱼是欧美鲫鱼的一种变异鱼,它在人体表面的鳞片很大。所以在欧洲的一些地区,经常有人用三道鳞鱼来晒虾米作为镜子,所以三道鳞鱼也有另外一个名字,镜鱼。如今,三道鳞鱼已经被引入中国许多地区进行...
在我们的日常生活中,桂花酒属于一种常见的酒,具有桂花树的香味和多种营养元素,特别适合冬季饮用。桂花酒可以暖身祛寒作用,还可以合理减少疲劳功效,改善睡眠质量等。...
许多人喜欢在冬天去钓鱼。在这种情况下,米酒通常被用作巢的材料。对于一些更有经验的人来说,筑巢是非常好的。然而,许多人没有做好并死去。死亡巢穴的出现有很多原因。可能是制作巢料时香料的味道太...
三角肌 注射是预防接种医院门诊的重点工作。精确定位和选择合适的位置对于确保安全注射非常重要。三角肌注射/的正确方式是什么?三角肌宜注射方法是将右手收紧在部分皮肤上,将无名指固定在针上,使针...
我坚信很多人都吃过马鲛鱼,这是一种有价值的鱼,营养含量很高,比如蛋白质丰富多彩。另外,马鲛鱼含有维生素A和各种矿物质元素。据了解,食用马鲛鱼具有补气养血的功效,还具有止咳化痰的功效。女性可以通...
夏天很多人喜欢买泥鳅吃。泥鳅有很多做法,比如蒸、炸等等。它是一种人们非常喜欢吃的食物。而且泥鳅的营养价值也很高,但是每次吃的时候处理掉泥鳅是个麻烦的问题,尤其是如果内脏需要清理的话。所以...
相信很多人都用过上海药皂,它是中国上海第一块特效除菌皂,那么上海药皂都有什么作用呢?下面就来说说上海药皂的功效与作用,一起来了解下吧。...