通常性病尖锐湿疣病情会有长短不同的潜伏期,主要是根据患者身体体质感染程度等情况有关,所以尖锐湿疣患者身体的潜伏期长短因人而异,一般为2周到8个月不等,平均3个月,潜伏期时间较长的话也有长达12个月左右的。

因为有些性病的潜伏期可能很长,例如HIV的潜伏期可以长达数月或数年,而这段时间内的检测可能为阴性。通常性病尖锐湿疣病情会有长短不同的潜伏期,主要是根据患者身体体质情况、感染程度等情况有关,所以尖锐湿疣患者身体的潜伏期长短因人而异,一般为2周到8个月不等,平均3个月,潜伏期时间较长的话也有长达12个月左右的。
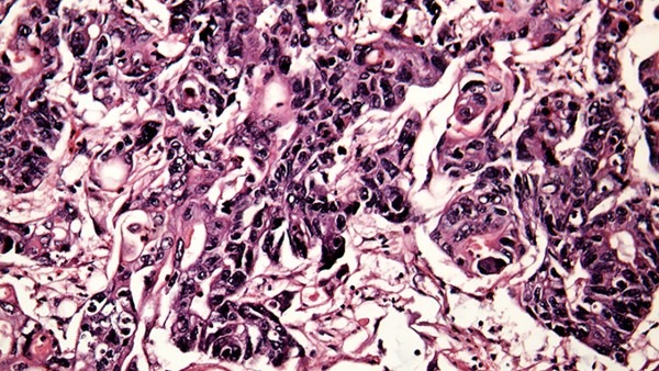
潜伏期过后患者身体开始出现出现明显病症,长出淡红色或污红色的小丘疹,如果没有及时治疗的话,这些小疙瘩可很快长大,发展为乳头状、菜花状、鸡冠状等形状的疣体赘生物,表面呈颗粒状,或呈现湿润或有出血的情况,这些疣体赘生物可很快破溃,形成溃疡面。

在性行为发生前,双方都应做全面的性病检测,包括但不限于HIV、梅毒、淋病、衣原体、阴道滴虫、尖锐湿疣等。例如,人们往往会将梅毒、淋病、尖锐湿疣和艾滋病(HIV)等疾病视为性病的代表,但实际上,许多性病,如阴道滴虫病和衣原体感染,可能在没有明显症状的情况下传播。
家常炒猪肝:猪肝、洋葱、芹菜、彩椒。猪肝炒洋葱是一道美味健康的家常菜。留底油炒香洋葱,加入炒好的猪肝,用蚝油、酱油调味,加一丢丢水翻炒均匀就可以开吃啦。另起锅放入洋葱、彩椒、芹菜炒香,放回猪...
你们家有蜂蜜吗?如果有蜂蜜那你有福了。大家在这段时间可以泡热枸杞蜂蜜水喝,一次性加一大勺枸杞的那种。对于1岁以下的孩子,不要喝蜂蜜。,喝蜂蜜的时间在白天饭前1.5小时或饭后两小时,这样可以充分吸...
四种粥应该多喝:1.应该多喝小米粥。如果餐后血糖升的快,以后咱就不吃小米粥了。但也不是不能喝,在熬制小米粥的时候尽量缩短而致的时间,让任前不要吃太多,适当喝一点是可以的。小米粥并不控糖,因为它“...
过敏性体质和湿热偏盛的痛风患者慎用。适应症适用于痛风患者高尿酸血症的长期治疗。本品必须在痛风性关节炎的急性炎症症状消失后方开始应用。适应症治疗痛风性关节炎的急性发作,预防复发性痛风性...
爱吃新大黄米好大黄米的来看一看吧。今天大黄米产量也高,磨出来粮食也好,都是回头客,买的可多了。煮熟两晚的大黄米加水淘洗三到五遍。这五元钱给的不少,黄米就是大黄米,也称为黍子米是我国原产古老品...
虽然可以选择无痛分娩,但是在生产前和生产后都需要经历疼痛。这次生产,我使用了无痛管理,效果真的非常好,六个小时后我自己就能下床了。即使选择了无痛分娩,生产时的阵痛和产后的伤口疼痛也是无法避免...
七白杏仁糊是今年隔离系皮肤祛斑的必备之选,特别是对于那些容易长斑的人。白皮推荐选择祛斑蜜桃米色,自然皮推荐选择祛斑的奶油米色,黄黑皮推荐选择祛斑杏仁米色。如果你想让皮肤更细腻、更彻底地祛...
然而,我们需要注意奶茶的潜在害处。喝奶茶有一些益处,但也要注意其中的一些潜在害处。很多奶茶既没有奶也没有茶,大部分用的是植脂末和香精勾兑出来的。可能大家都不知道奶茶里面到底有什么?最重要的...
2朵郁金香代表:世界上只有我们两人,你依成双成对。9朵郁金香代表:我们的爱天长地久。另外郁金香花全株有毒,所以很多花友都不敢在家养。白色郁金香是纯情,表示失恋。...
水果男生测一测未来对象的水果属性。·如果菠萝是男生,这货在用它看起来坚强的外在伪装它,其实酸了吧唧的内心。水果寒凉属性,您知道几个?性平葵南椰柏山楂。再次默默付出,测试未来对象的水果属性。...
硒是人体的生命之火,是人体内不可缺少的营养成分,生活中很多水果都含有硒元素,但你知道含硒第一名的水果是什么吗?含硒高的水果又有哪些呢?跟水簇养生网一起来看看吧。...
一级夫妻性生活的年纪大概在20岁到50岁左右,如果是一种比较好的情况下,性生活的频率一般在10到20分钟左右,如果是比较差的夫妻,性生活的频率可能会受到很多因素的影响,有些人可能会担心,性生活的质量不...
黄ba等中草药可用于治疗多种男科疾病。 可是不应过多使用。 毕竟,该药具有三点毒性,并且肯定会引起身体某些副作用,尤其是对肾功能的影响,将产生非常大的影响,因此一定应该引起注意, 可能会继续导致自...
三道鳞鱼是欧美鲫鱼的一种变异鱼,它在人体表面的鳞片很大。所以在欧洲的一些地区,经常有人用三道鳞鱼来晒虾米作为镜子,所以三道鳞鱼也有另外一个名字,镜鱼。如今,三道鳞鱼已经被引入中国许多地区进行...
在我们的日常生活中,桂花酒属于一种常见的酒,具有桂花树的香味和多种营养元素,特别适合冬季饮用。桂花酒可以暖身祛寒作用,还可以合理减少疲劳功效,改善睡眠质量等。...
许多人喜欢在冬天去钓鱼。在这种情况下,米酒通常被用作巢的材料。对于一些更有经验的人来说,筑巢是非常好的。然而,许多人没有做好并死去。死亡巢穴的出现有很多原因。可能是制作巢料时香料的味道太...
三角肌 注射是预防接种医院门诊的重点工作。精确定位和选择合适的位置对于确保安全注射非常重要。三角肌注射/的正确方式是什么?三角肌宜注射方法是将右手收紧在部分皮肤上,将无名指固定在针上,使针...
我坚信很多人都吃过马鲛鱼,这是一种有价值的鱼,营养含量很高,比如蛋白质丰富多彩。另外,马鲛鱼含有维生素A和各种矿物质元素。据了解,食用马鲛鱼具有补气养血的功效,还具有止咳化痰的功效。女性可以通...
夏天很多人喜欢买泥鳅吃。泥鳅有很多做法,比如蒸、炸等等。它是一种人们非常喜欢吃的食物。而且泥鳅的营养价值也很高,但是每次吃的时候处理掉泥鳅是个麻烦的问题,尤其是如果内脏需要清理的话。所以...
相信很多人都用过上海药皂,它是中国上海第一块特效除菌皂,那么上海药皂都有什么作用呢?下面就来说说上海药皂的功效与作用,一起来了解下吧。...